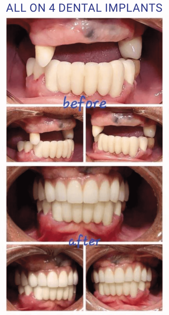
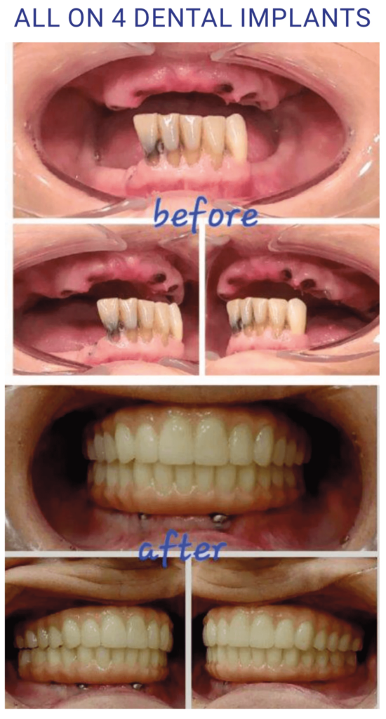
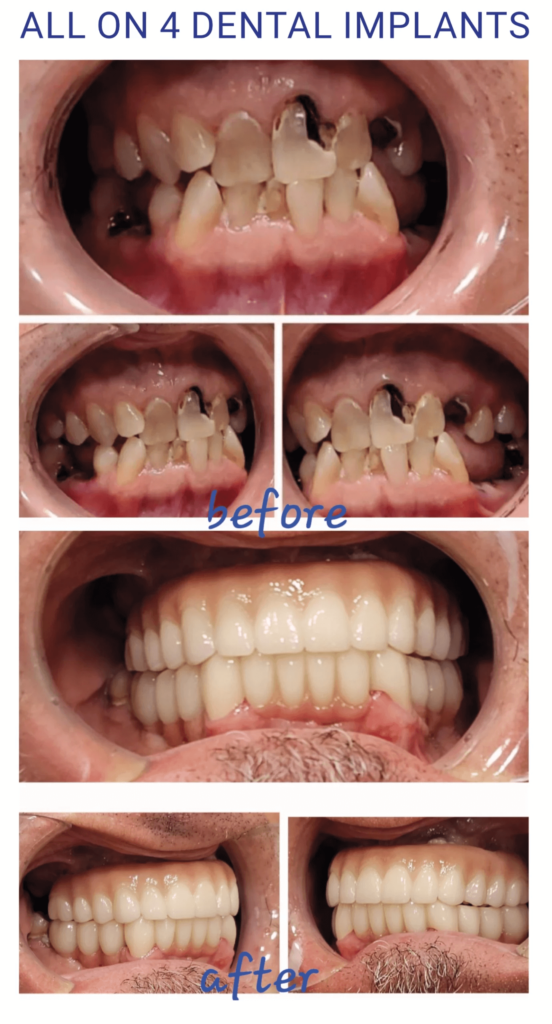
Transform Your Smile with Arch Dental Woodbury
Welcome to our Before & After gallery! Here, you can explore the incredible smile transformations of our patients who have benefited from our advanced dental treatments. At Arch Dental Woodbury, we take pride in helping our patients achieve healthier, more beautiful smiles. Browse through the images below to see the stunning results we’ve delivered with personalized care and state-of-the-art dental procedures.





































